细胞起源
嗜酸性粒细胞起源于骨髓造血干细胞,在粒细胞-巨噬细胞集落刺激因子(GM-CSF)、白细胞介素-5(IL-5)、白细胞介素-3(IL-3)等细胞因子的调控下分化成熟,随后释放入血,再迁移至全身各组织(如呼吸道、胃肠道、皮肤等)发挥生理功能。
.png)
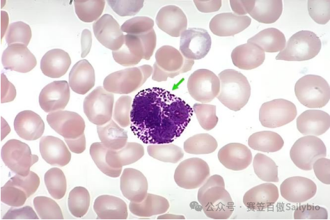
细胞形态
从形态上看,其胞质内充满粗大、均匀的嗜酸性颗粒,这些颗粒并非 “简单的储存囊”,而是装载着多种生物活性物质的 “功能宝库”-包括主要碱性蛋白(MBP)、嗜酸性粒细胞阳离子蛋白(ECP)、嗜酸性粒细胞过氧化物酶(EPO)、嗜酸性粒细胞衍生神经毒素(EDN)等。当机体受到刺激时,这些颗粒会释放活性物质,实现抗寄生虫感染、调节过敏反应、参与组织修复三大核心生理功能。
.png)
嗜酸性粒细胞与疾病的关联
过敏性疾病:最经典的关联领域
嗜酸性粒细胞是过敏性鼻炎、过敏性哮喘、特应性皮炎、过敏性胃肠炎等过敏性疾病的核心效应细胞。以过敏性哮喘为例,过敏原刺激下,气道黏膜中的嗜酸性粒细胞大量浸润,释放的 MBP、ECP 等活性物质会损伤气道上皮细胞,引发气道炎症、高反应性和黏液分泌增加,最终导致喘息、咳嗽、胸闷等症状。临床研究显示,哮喘患者外周血和气道分泌物中嗜酸性粒细胞数量与疾病严重程度呈正相关,其计数可作为哮喘病情评估和治疗效果监测的重要指标。
.png)
02
自身免疫性与炎症性疾病
在克罗恩病、溃疡性结肠炎等炎症性肠病中,肠道黏膜的嗜酸性粒细胞浸润是重要的病理特征,其释放的炎症介质会加重肠道黏膜损伤,促进溃疡形成和炎症迁延;此外,嗜酸性粒细胞还与结节性多动脉炎、系统性红斑狼疮等自身免疫病相关,通过调控免疫复合物沉积、炎症细胞聚集,参与疾病进展。
.png)
03
寄生虫感染:核心诊断标志物
当机体感染蠕虫、血吸虫、疟原虫等寄生虫时,骨髓会大量生成嗜酸性粒细胞并释放至外周血,导致外周血嗜酸性粒细胞显著升高,这一特征是临床诊断寄生虫感染的重要辅助依据 —— 尤其是在病因不明的嗜酸性粒细胞增多症中,寄生虫筛查是首要排查方向。
.png)
04
肿瘤与其他疾病:新兴研究热点
近年来研究发现,嗜酸性粒细胞在肿瘤微环境中扮演着 “双面角色”:一方面,它可通过释放活性物质直接杀伤肿瘤细胞,或通过激活机体抗肿瘤免疫反应发挥抑瘤作用;另一方面,在某些肿瘤(如肺癌、结直肠癌、乳腺癌)中,嗜酸性粒细胞可被肿瘤细胞 “驯化”,参与肿瘤血管生成、侵袭和转移,成为促瘤因子。
此外,嗜酸性粒细胞还与慢性阻塞性肺疾病、鼻窦炎、嗜酸性粒细胞性食管炎等疾病密切相关,其数量和活性调控已成为这些疾病临床治疗的重要靶点。
.png)
我司通过密度梯度离心法和磁珠分选试剂盒,能够分选获得高纯度的嗜酸性粒细胞,纯度可达95%以上。目前可提供新鲜形态的两种规格(1M和2M),如需更大规格,我司也可提供定制化服务。
.png)
纯度验证报告
该样本纯度CD66b+CD11b+为99.69%。
.png)
.png)
.jpg)